48歳の女性。息切れを主訴に来院した。半年前から長い距離を歩くと息切れを自覚するようになり、症状は徐々に増悪した。最近になり2階まで階段を上るのも息苦しくなってきたため受診した。喫煙歴はない。
脈拍 88/分、整。血圧 134/68 mmHg。呼吸数 20/分。SpO₂ 93% (room air)。仰臥位で頸静脈怒張を認める。心音ではⅡ音が亢進している。呼吸音に異常を認めない。両下腿に浮腫を認める。
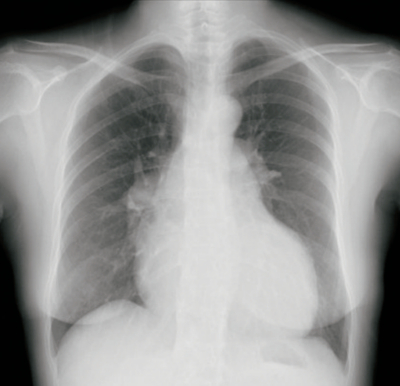
血液所見:赤血球 390万、Hb 12.0 g/dL、Ht 34%、白血球 6,600、血小板 9万。血液生化学所見:総蛋白 6.2 g/dL、アルブミン 3.3 g/dL、ALT 26 U/L、クレアチニン 0.6 mg/dL。CRP 0.1 mg/dL。胸部エックス線写真及び心電図を示す。
この患者の息切れの原因として、最も考えられるのはどれか。
a. 肺高血圧症
b. 不安定狭心症
c. 感染性心内膜炎
d. 心タンポナーデ
e. 大動脈弁狭窄症
