74歳の男性。1週前に大動脈弁狭窄症に対して大動脈弁置換術を施行した。術後経過は良好で退院を目指し、一般病棟でリハビリテーションに励んでいた。昨日から食欲不振があり、今朝から息切れと全身倦怠感を訴えている。
意識は清明。体温 36.7 ℃。脈拍 100/分、整。血圧 94/74 mmHg。呼吸数 18/分。SpO₂ 98% (room air)。眼瞼結膜は軽度貧血様で、眼球結膜に黄染を認めない。頸静脈怒張を認める。心音は減弱。呼吸音に異常を認めない。腹部は平坦、軟で、胸部正中に手術痕を認める。
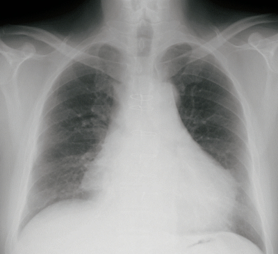
血液所見:赤血球 352万、Hb 10.7 g/dL、Ht 31%、白血球 8,700、血小板 10万。血液生化学所見:アルブミン 3.3 g/dL、総ビリルビン 1.2 mg/dL、AST 31 U/L、ALT 52 U/L、LD 331 U/L (基準 120~245) 、CK 50 U/L (基準 30~140)、尿素窒素 30 mg/dL、クレアチニン 1.1 mg/dL、Na 136 mEq/L、K 5.1 mEq/L、Cl 99 mEq/L。CRP 1.2 mg/dL。胸部エックス線写真及び胸部単純CTを別に示す。
症状に最も関連している病態はどれか。
a. 気胸
b. 貧血
c. 縦隔炎
d. 胸水貯留
e. 心嚢液貯留
