64歳の男性。呼吸困難を主訴に来院した。4日前に左胸痛と息切れが出現し、次第に増悪してきたため受診した。
体温36.2℃。脈拍100/分、整。血圧120/80mmHg。呼吸数20/分。SpO2 92%(room air)。眼瞼結膜と眼球結膜とに異常を認めない。頸部リンパ節を触知しない。左胸部に呼吸音を聴取しない。
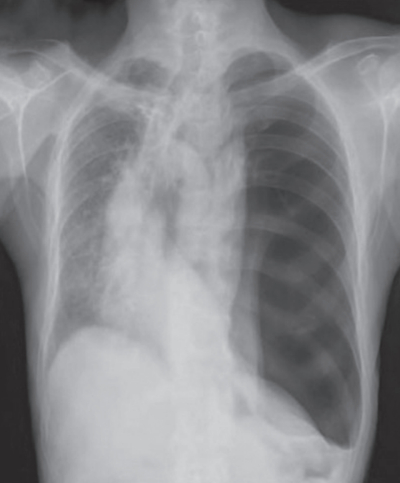
血液所見:赤血球420万、Hb 13.0g/dL、Ht 37%、白血球4,400、血小板21万。CRP 0.4mg/dL。来院時の胸部エックス線写真を別に示す。入院後、胸腔ドレーンを挿入したところ、直後から咳嗽と泡沫状の喀痰が出現した。この時点の胸部エックス線写真を別に示す。
胸腔ドレーン挿入後の病態として正しいのはどれか。
来院時
胸腔ドレーン挿入後
a. 肺炎
b. 肺水腫
c. 無気肺
d. 肺胞出血
e. うっ血性心不全
