42歳の男性。腹痛を主訴に来院した。昨日昼から心窩部痛を自覚していた。今朝、起床時に嘔吐した。その後右下腹部痛を自覚し、徐々に増悪するため受診した。
身長170cm、体重78kg。体温37.3℃。脈拍84/分、整。血圧126/78mmHg。呼吸数16/分。SpO2 99%(room air)。腹部は平坦で、右下腹部に圧痛と反跳痛を認める。
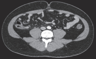
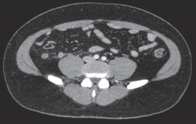
血液所見:赤血球486万、Hb 15.2g/dL、Ht 43%、白血球16,200、血小板24万。血液生化学所見:総蛋白6.4g/dL、アルブミン4.2g/dL、総ビリルビン0.7mg/dL、AST 23U/L、ALT 18U/L、LD 147U/L(基準120~245)、尿素窒素20mg/dL、クレアチニン0.9mg/dL。CRP 0.9mg/dL。腹部超音波検査では病変の描出が不明瞭であった。腹部造影CTの横断像と斜冠状断像を別に示す。
考慮すべき治療法はどれか。3つ選べ。
a. 手術
b. 輸液
c. 高圧浣腸
d. 抗菌薬投与
e. イレウス管挿入
 
     
     
    