医師免許申請用診断書

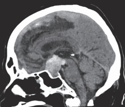
72歳の男性。突然の激しい頭痛と急激な両側の視力低下を主訴に来院した。意識は清明。身長169cm、体重69kg。体温36.8℃。脈拍80/分、整。血圧154/92mmHg。四肢麻痺はない。頭部単純CTの冠状断像と矢状断像を示す。

適切な治療はどれか。

a. 血管内治療

b. 減圧開頭術

c. 経蝶形骨洞手術

d. 開頭クリッピング術

e. 腰椎(髄液持続)ドレナージ

解答を見る

過去問チャートは、医療系国家試験の過去問をテーマ別に整理・解説した無料の学習サービスです。
※公式問題・正答は厚生労働省公開資料をもとに整理しています。


システム設計・解説記入:米澤 昌紘(X : @leknyan
(医師/日本橋内科クリニック院長)