47歳の男性。職場の飲み会の帰りに歩道橋の階段を踏みはずして受傷し、救急車で搬入された。
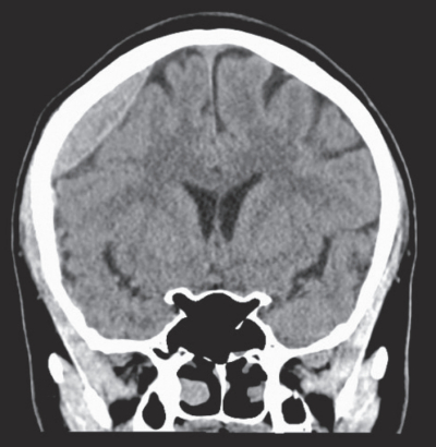
来院時の意識レベルはJCS II-10。体温 36.6 ℃。血圧 126/88 mmHg。心拍数 80/分、整。呼吸数 16/分。SpO2 99%(リザーバー付マスク10L/分 酸素投与下)。来院時に緊急で撮影された頭部単純CTの水平断像と冠状断像および骨条件の水平断像と冠状断像を別に示す。
診断はどれか。2つ選べ。
a. 頭蓋骨骨折
b. 急性硬膜外血腫
c. 急性硬膜下血腫
d. 外傷性脳内血腫
e. びまん性軸索損傷
