60 歳の男性。下腹部痛を主訴に来院した。3 日前から微熱と下腹部痛を自覚し、徐々に増悪するため受診した。悪心のため食欲不振があるが嘔吐はない。下腹部痛は持続しており、排便により軽快しない。下痢や便秘はない。22 歳時、虫垂切除術を受けている。内服薬はない。喫煙歴はない。飲酒は日本酒 1 合/日を 40 年間。家族歴に特記すべきことはない。1年前に受けた人間ドックで下部消化管内視鏡検査を施行し、大腸憩室を指摘されている。
身長 175 cm、体重 70 kg。体温37.1 ℃。脈拍 96/分、 整。 血圧 136/88 mmHg。 呼吸数 14/分。SpO₂ 98 %(roomair)。眼瞼結膜と眼球結膜とに異常を認めない。腹部は平坦で、下腹部正中に圧痛を認め、筋性防御と反跳痛とを認めない。肝・脾を触知しない。腸雑音に異常を認めない。
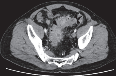
尿所見:蛋白(-)、糖(-)、潜血(-)。血液所見:赤血球 468 万、Hb 13.9 g/dL、Ht 42 %、白血球 12,300(桿状核好中球 30 %、 分葉核好中球45 %)、血小板 20 万。血液生化学所見:総蛋白 7.5 g/dL、アルブミン 3.9 g/dL、総ビリルビン 0.9 mg/dL、AST 28 U/L、ALT 16 U/L、LD 177 U/L(基準 120~245)、ALP 83 U/L(基準 38~113)、γ-GT 48 U/L(基準 8 ~50)、アミラーゼ 95 U/L(基準 37~160)、尿素窒素 12 mg/dL、クレアチニン 0.6 mg/dL、血糖98 mg/dL。CRP 3.2 mg/dL。 1 年前に行われた下部消化管内視鏡検査の S 状結腸像と今回来院時の腹部造影 CTを別に示す。
この患者への現時点の対応で適切なのはどれか。
a. 浣腸
b. 結腸切除術
c. 抗菌薬投与
d. 体外衝撃波結石破砕術
e. 副腎皮質ステロイド投与
 
    