60 歳の女性。皮疹を主訴に来院した。 1 年前から右肩甲部に皮疹が出現し徐々に拡大してきた。痒みや痛みはない。
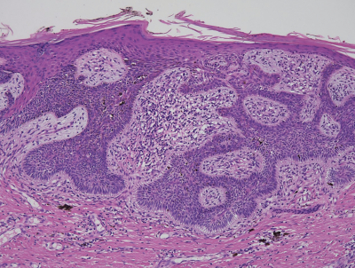
右肩甲部に約 2 cm の境界明瞭で平坦な淡褐色結節を認める。血液所見と血液生化学所見とに異常を認めない。胸腹部造影 CTで明らかな転移を認めない。生検で病理診断を行った後、結節を辺縁から 5 mm 離して切除した。術前の右肩甲部の写真と摘出組織の H-E 染色標本とを別に示す。H-E 染色標本で切除断端に病変はなかった。
切除後の対応で適切なのはどれか。
a. 拡大切除
b. 経過観察
c. 電子線照射
d. PUVA 療法
e. 薬物による抗癌治療
