医師免許申請用診断書

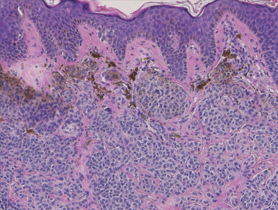
50 歳の男性。右頰部の皮疹を主訴に来院した。約 10 年前から徐々に隆起してきた。自然に出血はしない。瘙痒と疼痛はない。右鼻唇溝に直径 5 mm の隆起した黒褐色の結節を認める。右頸部リンパ節の腫脹は認めない。結節を切除した。術前の右鼻唇溝部の写真と切除検体の H-E 染色標本を別に示す。

診断はどれか。

a. Bowen 病

b. 悪性黒色腫

c. 基底細胞癌

d. 色素性母斑

e. 脂漏性角化症

解答を見る

過去問チャートは、医療系国家試験の過去問をテーマ別に整理・解説した無料の学習サービスです。
※公式問題・正答は厚生労働省公開資料をもとに整理しています。


システム設計・解説記入:米澤 昌紘(X : @leknyan
(医師/日本橋内科クリニック院長)