41 歳の女性。声が出しにくいことを主訴に来院した。半年前から水分摂取時にむせることがあり、 2 週間前から嗄声が出現し、自宅近くの医療機関で右前頸部腫脹を指摘され精査のため受診した。既往歴と家族歴に特記すべきことはない。喫煙歴はない。飲酒は機会飲酒。
甲状腺右葉に硬い腫瘤を触知する。右側頸部に径 1cm のリンパ節を2つ触知する。
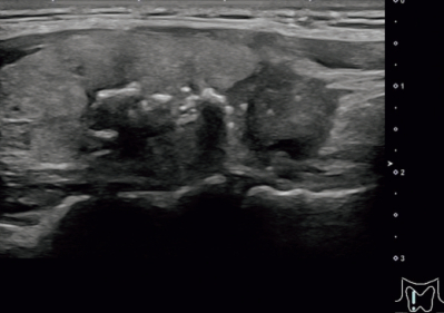
血液所見:赤血球 404 万、Hb 11.6 g/dL、Ht 36 %、白血球 4,800、 血小板 26 万。 血液生化学所見:TSH 0.8 μU/mL(基準0.2~4.0)、FT3 3.1 pg/mL(基準 2.3~4.3)、FT4 1.2 ng/dL(基準 0.8~2.2)、 サイログロブリン 141 ng/mL(基準 5 ~30)。免疫血清学所見:抗サイログロブリン〈TG〉抗体 11.3 U/mL(基準 0.3 以下)、抗甲状腺ペルオキシダーゼ〈TPO〉抗体<0.3 U/mL(基準 0.3 以下)。甲状腺超音波像と頭頸部造影 CTを別に示す。胸部単純 CT で肺野に異常を認めない。甲状腺腫瘤の穿刺吸引細胞診で核溝と核内細胞質封入体を有する異型細胞を認める。
まず行う治療として適切なのはどれか。
a. 手術治療
b. 粒子線治療
c. 抗甲状腺薬投与
d. 殺細胞性薬投与
e. 放射性同位元素内用療法
