52 歳の女性。呼吸困難を主訴に来院した。 3 か月前から呼吸困難が出現し自宅近くの診療所を受診して胸部エックス線撮影を施行されたが異常は指摘されなかった。喘息と診断され加療を受けたが改善せず、最近は徐々に呼吸困難が強くなっていると感じている。
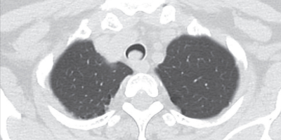
体温 36.8 ℃。血圧 118/64 mmHg。呼吸数 24/分。SpO₂ 94 %(room air)。胸部単純 CTを別に示す。
この患者で聴取される呼吸音として最も可能性が高いのはどれか。
a. stridor
b. wheezes
c. friction rub
d. fine crackles
e. coarse crackles
