33 歳の男性。右下腹部の激痛を主訴に救急車で搬入された。昨日から下腹部に違和感があり、徐々に痛みが増強し我慢できなくなったため救急車を要請した。24歳時に虫垂切除術の既往がある。
意識は清明。身長 168 cm、体重 78 kg。体温38.5 ℃。心拍数 108/分、整。血圧 100/62 mmHg。SpO₂ 97 %(room air)。眼瞼結膜と眼球結膜とに異常を認めない。心音と呼吸音とに異常を認めない。腹部は平坦だが、Blumberg 徴候を認め、右下腹部には筋性防御を認める。腸雑音は減弱している。
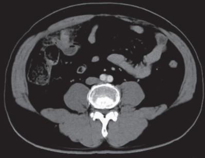
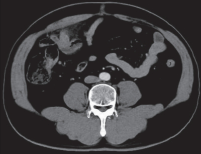
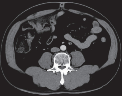
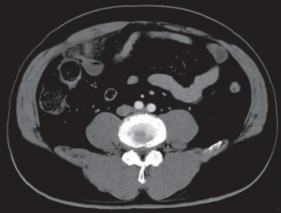
血液所見:赤血球 486 万、Hb 15.0 g/dL、Ht 44 %、白血球 18,000(好中球82 %、好酸球 1 %、好塩基球 1 %、単球 6 %、リンパ球 10 %)、血小板 26 万、PTINR 0.9(基準 0.9~1.1)。 血液生化学所見: 総蛋白 8.1 g/dL、 アルブミン5.1 g/dL、総ビリルビン 1.2 mg/dL、AST 23 U/L、ALT 30 U/L、LD 166 U/L(基準 120~245)、ALP 39 U/L(基準 38~113)、γ-GT 25 U/L(基準 8 ~50)、アミラーゼ 44 U/L(基準 37~160)、CK 64 U/L(基準 30~140)、尿素窒素 17 mg/dL、クレアチニン 1.2mg/dL、 尿酸 6.4 mg/dL、 血糖 109 mg/dL、Na 140 mEq/L、K 3.9 mEq/L、Cl 101 mEq/L、Ca 9.8 mg/dL。CRP 19 mg/dL。 腹部造影 CTを別に示す。
この患者の治療法で適切なのはどれか。
a. 緊急手術
b. 高圧浣腸
c. 緩下薬投与
d. イレウス管留置
e. 腹腔穿刺ドレナージ
