42 歳の男性。胸腺摘出術後で入院中である。浸潤性胸腺腫で前縦隔から左肺門部にかけて腫瘍が浸潤しており、 1 週間前に胸腺摘出術を施行した。術後から息が深く吸えないことを訴えている。
体温 36.4 ℃。 脈拍 72/分、 整。 血圧124/72 mmHg。呼吸数 20/分。SpO₂ 96 %(room air)。
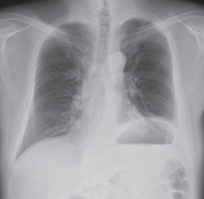
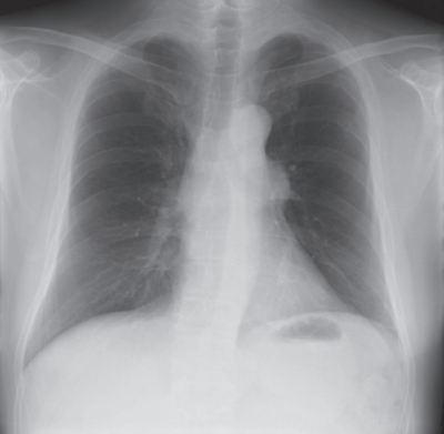
血液所見:赤血球 410 万、Hb 13.0 g/dL、Ht 40 %, 白血球 7,300、血小板 15 万。血液生化学所見:総蛋白6.5 g/dL、 アルブミン 4.5 g/dL、 総ビリルビン 0.6 mg/dL、 直接ビリルビン0.2 mg/dL、AST 20 U/L、ALT 25 U/L、LD 185 U/L(基準 120~245)、ALP 110 U/L(基準 38~113)、 尿素窒素 11 mg/dL、 クレアチニン 0.4 mg/dL、Na 140 mEq/L、K 4.0 mEq/L、Cl 101 mEq/L。CRP 2.0 mg/dL。 術前後の胸部エックス線写真を別に示す。
原因として考えられるのはどれか。
a. 食道損傷
b. 横隔膜損傷
c. 横隔神経麻痺
d. 反回神経麻痺
e. 食道裂孔ヘルニア
