85 歳の男性。発熱と呼吸困難を主訴に家族とともに来院した。
現病歴:1 年前から息切れのため自宅の階段を昇ることが困難となり、食事や飲水の際のむせが出現した。食事量も低下し、半年間で体重が 5 kg 減少した。 1 週間前から咳嗽と喀痰が多くなり、 2 日前から 38 ℃の発熱と呼吸困難がみられるようになったため家族に伴われて受診し、入院した。
既往歴:15 年前から高血圧症に対してアンジオテンシン変換酵素〈ACE〉阻害薬を内服している。 5 年前から物忘れが目立つようになり、 2 年前に Alzheimer 型認知症と診断された。
生活歴:65 歳まで会社員。現在は娘の家族と同居。喫煙は 65 歳まで 20 本/日を45 年間。飲酒歴はない。自宅で猫を飼育している。
家族歴:両親とも脳梗塞で死亡。
現症:意識は清明。身長 160 cm、体重 43 kg。体温 38.0 ℃。脈拍 120/分、整。血圧 122/78 mmHg。呼吸数 28/分。眼瞼結膜に異常を認めない。口腔内の衛生状態は不良である。心音に異常を認めない。呼吸音は両側で wheezes を、右背側で coarse crackles を聴取する。腹部は平坦、軟で、肝・脾を触知しない。浮腫を認めない。
検査所見:血液所見:赤血球 412 万、Hb 13.1 g/dL、Ht 40 %、白血球 9,800(好中球 82 %、好酸球 2 %、好塩基球 0 %、単球 7 %、リンパ球 9 %)、血小板 34 万。血液生化学所見:総蛋白 5.8 g/dL、アルブミン 2.9 g/dL、総ビリルビン 1.1 mg/dL、AST 14 U/L、ALT 10 U/L、LD 230 U/L(基準 120~245)、ALP 64 U/L(基準38~113)、尿素窒素 28 mg/dL、クレアチニン 1.5 mg/dL、尿酸 6.0 mg/dL、血糖135 mg/dL、Na 139 mEq/L、K 4.7 mEq/L、Cl 106 mEq/L。CRP 5.1 mg/dL。 動脈血ガス分析(鼻カニューラ 2 L/分 酸素投与下):pH 7.33、PaCO₂ 58 Torr、PaO₂ 72 Torr、HCO₃¯ 30 mEq/L。新型コロナウイルス〈SARS-CoV-2〉PCR 検査は陰性であった。
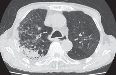
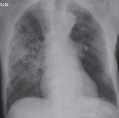
入院時の胸部エックス線写真と胸部単純 CTを別に示す。
1 週間前からの状態変化の要因として考えにくいのはどれか。
a. 体重の減少
b. 認知機能の低下
c. 口腔内の衛生状態不良
d. 食事や飲水の際のむせ
e. アンジオテンシン変換酵素〈ACE〉阻害薬の内服
呼吸状態の急性増悪に対し、抗菌薬とともに用いる薬剤として適切なのはどれか。
a. NSAID
b. β2 刺激薬
c. アルブミン製剤
d. 抗ヒスタミン薬
e. テオフィリン薬
入院 3 日目、患者の状態は改善傾向で酸素も不要となったが、急に呼吸心拍モニ ターを引きちぎり、「今日は仕事に行く」と言い病室から出ようとした。表情は乏しく、入院中であることを説明しても聞きいれず、複数名での制止を要する状態であった。
対応で誤っているのはどれか。
a. 脱水を避ける。
b. 早期離床を促す。
c. 日中の覚醒を保つ。
d. 呼吸心拍モニターを終了する。
e. 夜間はベンゾジアゼピン系睡眠薬を用いる。
