医師免許申請用診断書

66 歳の女性。左方視時の複視と羞明を主訴に来院した。 1 か月前から複視を自覚し、 2 日前から左眼の羞明が出現したため受診した。

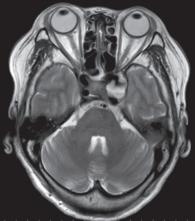
意識は清明。 体温36.4 ℃。脈拍 72/分、整。血圧 128/86 mmHg。呼吸数 14/分。頭部単純 MRI T2強調像と選択的左内頸動脈造影側面像を別に示す。

この患者の治療で正しいのはどれか。

a. 血管内治療

b. 抗血小板薬投与

c. 定位放射線治療

d. ブロモクリプチン投与

e. 経蝶形骨洞的腫瘍摘出術

解答を見る

過去問チャートは、医療系国家試験の過去問をテーマ別に整理・解説した無料の学習サービスです。
※公式問題・正答は厚生労働省公開資料をもとに整理しています。


システム設計・解説記入:米澤 昌紘(X : @leknyan
(医師/日本橋内科クリニック院長)