8 歳の男児。38.8 ℃の発熱を主訴に母親に連れられて来院した。 2 歳ごろから時々高熱をきたし、自宅近くの医療機関で経口抗菌薬による保存的治療を受けていた。
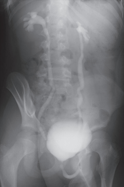
尿所見:蛋白 1 +、糖(-)、ケトン体(-)、潜血 1 +、沈渣に赤血球 1 ~ 4 /HPF、白血球 50~99/HPF を認める。尿路感染と診断し、入院のうえ、セフェム系抗菌薬の点滴治療を行った。解熱後に行った排尿時膀胱尿道造影像を別に示す。
この患児について正しいのはどれか。2 つ選べ。
a. 染色体検査を行う。
b. 両側に腎瘻を造設する。
c. 両側に尿管カテーテルを留置する。
d. 腎盂腎炎の予防に抗菌薬を投与する。
e. 99mTc-DMSA 腎シンチグラフィを行う。
