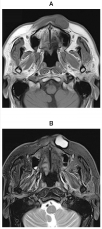
70歳の男性。鼻下部の無痛性の腫脹を主訴として来院した。10年以上前から自覚しており、緩徐に増大してきたという。初診時のMRI T1強調像と脂肪抑制T2強調像及び超音波検査の画像を示す。
考えられるのはどれか。1つ選べ。
a. 歯根囊胞
b. 歯周囊胞
c. 類表皮囊胞
d. 鼻口蓋管囊胞
e. 術後性上顎囊胞
前のページへ
次のページへ