医師免許申請用診断書

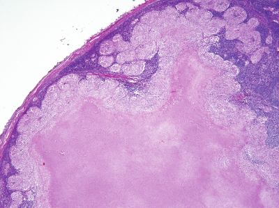
1か月続く37℃台の発熱と頸部リンパ節腫大とを主訴に来院した22歳の男性。胸部エックス線写真で異常を認めない。リンパ節生検組織のH-E染色標本を別に示す。

追加して行う染色として最も有用なのはどれか。

a. PAS染色

b. Gram染色

c. Grocott染色

d. Ziehl-Neelsen染色

e. ヒメネス(Gimenes)染色

解答を見る

過去問チャートは、医療系国家試験の過去問をテーマ別に整理・解説した無料の学習サービスです。
※公式問題・正答は厚生労働省公開資料をもとに整理しています。


システム設計・解説記入:米澤 昌紘(X : @leknyan
(医師/日本橋内科クリニック院長)