51歳の男性。左の下腹部から側腹部にかけての痛みを主訴に来院した。昨日、仕事中に左背部に軽度の痛みが出現したが30分ほどで軽快した。本日午前8時ころ、出勤途中の電車の中で、突然、左の下腹部から側腹部にかけての強い痛みが出現したため受診した。来院の途中に悪心と嘔吐があった。
意識は清明。体温36.3℃。血圧158/94mmHg。顔色は蒼白で冷汗を認める。腹部に反跳痛を認めない。左の肋骨脊柱角に叩打痛を認める。
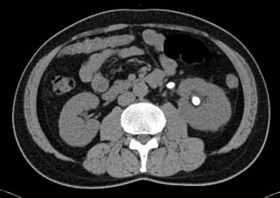
尿所見:蛋白1+、糖(-)、潜血3+、沈渣に赤血球15~30/1視野、白血球1~4/1視野。血液所見:赤血球460万、Hb 14.6g/dL、Ht 46%、白血球8,300、血小板22万。血液生化学所見:総蛋白7.1g/dL、アルブミン3.8g/dL、総ビリルビン1.1mg/dL、AST 35IU/L、ALT 32IU/L、LD 186IU/L(基準176~353)、γ-GTP 45IU/L(基準8~50)、尿素窒素23mg/dL、クレアチニン1.2mg/dL、尿酸8.6mg/dL、血糖92mg/dL、Na 136mEq/L、K 4.0mEq/L、Cl 109mEq/L、Ca 9.2mg/dL。CRP 1.2mg/dL。腹部超音波検査で左水腎症、左腎結石および左尿管結石を認める。腹部単純エックス線写真と腹部単純CTとを別に示す。
この患者で予測される結石成分はどれか。
a. 尿酸
b. 炭酸カルシウム
c. リン酸カルシウム
d. シュウ酸カルシウム
e. リン酸マグネシウムアンモニウム
