76歳の男性。全身倦怠感と呼吸困難とを主訴に来院した。昨日、引っ越しのために一日中荷物の移動を行った。その後、全身倦怠感を自覚していたが、21時ころに就寝した。午前2時ころ呼吸困難が生じてきたため、しばらく座位で安静にしたという。今朝も全身倦怠感と呼吸困難が改善せず、呼気時の喘鳴も出現してきたため妻とともに受診した。10年前に健康診断で不整脈を指摘されていたが、特に症状がなかったので医療機関を受診していなかった。
意識は清明。身長167cm、体重66kg。体温36.2℃。脈拍84/分、不整。血圧152/66mmHg。呼吸数24/分。SpO2 95%(room air)。胸部の聴診ではⅢ音と心尖部に最強点を有するⅢ/Ⅵの汎(全)収縮期雑音を聴取する。両側の胸部でwheezes を聴取する。腹部は平坦、軟で、肝・脾を触知しない。両側の脛骨前面に圧痕を残す浮腫を認める。
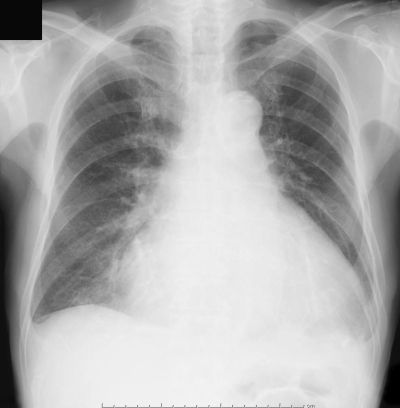
血液所見:赤血球459万、Hb 14.1g/dL、Ht 42%、白血球4,900、血小板19万。血液生化学所見:総蛋白7.6g/dL、アルブミン3.8g/dL、総ビリルビン1.1mg/dL、直接ビリルビン0.3mg/dL、AST 52IU/L、ALT 49IU/L、LD 420IU/L(基準176~353)、ALP 358IU/L(基準115~359)、γ-GTP 60IU/L(基準8~50)、アミラーゼ124IU/L(基準37~160)、脳性ナトリウム利尿ペプチド(BNP)478pg/mL(基準18.4以下)、尿素窒素16mg/dL、クレアチニン1.1mg/dL、Na 141mEq/L、K 4.0mEq/L、Cl 104mEq/L。CRP 1.3mg/dL。心電図と胸部エックス線写真とを別に示す。心エコーで左室駆出率44%であり、高度の僧帽弁逆流と下大静脈の拡大とを認める。 初期治療において投与するのはどれか。3つ選べ。
a. 酸素
b. 利尿薬
c. 硝酸薬
d. α遮断薬
e. ノルアドレナリン
