6か月の乳児。呼吸不全のため来院した。生後5か月から咳嗽が出現しており、昨日から多呼吸も出現するようになったため救急外来を受診した。
身長 66.5 cm、体重 5.3 kg。体温 37.2 ℃。脈拍 180/分、整。血圧 88/52 mmHg。呼吸数 50/分。SpO2 86 %(room air)。咽頭は発赤を認めないが、口腔粘膜に鵞口瘡を認める。心音に異常を認めない。両側の胸部にびまん性に fine crackles を聴取する。
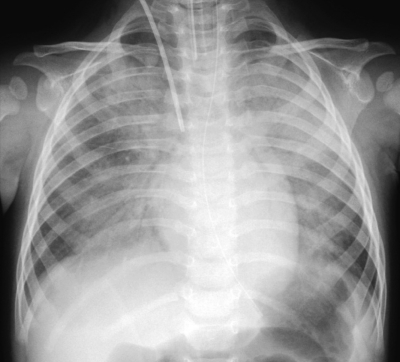
血液所見:赤血球 403 万、Hb 10.4 g/dL、Ht 31 %、白血球 2,300 (好中球 64 %、好酸球 1 %、好塩基球 1 %、単球 7 %、リンパ球 27 %)、血小板 37 万。血液生化学所見:総蛋白 6.1 g/dL、IgG 152 mg/dL(基準 440〜880)、IgA 5 mg/dL(基準 31〜77)、IgM 13 mg/dL(基準 19〜55)。免疫血清学所見:CRP 0.1 mg/dL、β-D-グルカン 26 pg/mL(基準 10 以下)。人工呼吸管理を開始し、胃管と中心静脈カテーテルを挿入した。胸部エックス線写真と肺野条件の胸部 CTとを別に示す。
考えられる原因微生物はどれか。
a. カンジダ
b. リステリア
c. クラミジア
d. ニューモシスチス
e. サイトメガロウイルス
