27 歳の女性。発熱と顔面の紅斑との精密検査のため4日前から入院中である。3か月前から手指の関節痛を自覚していた。1か月前から顔面の紅斑と 37 ℃台の発熱も出現したため受診した。
来院時、意識は清明。体温 37.5 ℃。脈拍 84/分、整。血圧 106/72 mmHg。両側頰部に浮腫状の紅斑を認めた。心音と呼吸音とに異常を認めなかった。両側の手関節と肘関節とに圧痛を認めた。
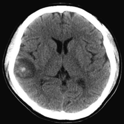
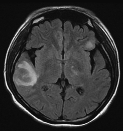
尿所見:蛋白(-)、潜血(-)。血液所見:赤血球 405 万、Hb 11.1 g/dL、Ht 34 %、白血球 2,500(好中球 70 %、好酸球 1 %、好塩基球 1 %、単球 4 %、リンパ球 24 %)、血小板 15 万、PT-INR 1.3(基準 0.9〜1.1)、APTT 38.9 秒(基準対照 32.2)。血液生化学所見:尿素窒素 12 mg/dL、クレアチニン 0.5 mg/dL、Na 140 mEq/L、K 4.0 mEq/L、Cl 108 mEq/L。免疫血清学所見:CRP 0.3 mg/dL、リウマトイド因子<RF>陰性、抗核抗体 1,280 倍(基準 20 以下)、抗 DNA 抗体 60 IU/mL(基準 7以下)、CH50 U/mL(基準 30〜40)、C3 32 mg/dL(基準 52〜112)、C4 3 mg/dL(基準 16〜51)。本日から頭痛、めまい及び嘔吐が出現し、7% 重炭酸ナトリウムを静脈投与されたが改善しない。意識は清明。水平眼振を認める。頭部 CTと頭部 MRI の FLAIR 像とを別に示す。脳脊髄液所見に異常を認めない。
次に行う治療はどれか。
a. 緊急手術
b. 抗菌薬投与
c. 血漿交換療法
d. 分子標的薬投与
e. ステロイドパルス療法
