35 歳の女性。血痰と発熱とを主訴に来院した。約2週間前から咳嗽と発熱とが出現し、昨日から血痰と呼吸困難とを自覚するようになった。6年前から甲状腺機能亢進症でプロピルチオウラシルを内服している。
体温 38.3 ℃。脈拍 104/分、整。血圧 128/72 mmHg。呼吸数 20/分。SpO2 93 %(room air)。眼瞼結膜は貧血様である。背部 に fine crackles を聴取する。
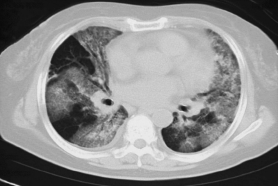
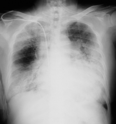
血液所見:Hb 6.2 g/dL。CRP 3.6 mg/dL。胸部エックス線写真と肺野条件の胸部CTとを別に示す。喀痰の塗抹、培養検査は一般細菌、抗酸菌ともに陰性で、結核菌の PCR 検査も陰性である。気管支肺胞洗浄液は鮮紅色で、ヘモジデリン貪食マクロファージを認める。
現在の症状に最も関連するのはどれか。
a. 抗 Jo-1 抗体
b. MPO-ANCA
c. 抗 SS-A 抗体
d. 抗 TSH 受容体抗体
e. 抗カルジオリピン抗体
