32 歳の女性。腹部膨満感を主訴に来院した。母親が慢性腎不全で血液透析を受けている。両側季肋部から両側側腹部に腫瘤を触知し、軽度の圧痛を認める。
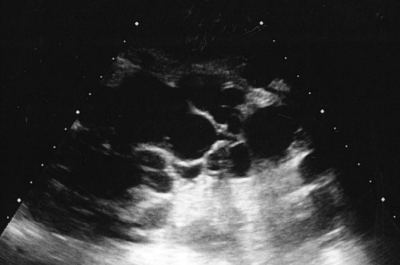
血圧 146/92 mmHg。尿所見:蛋白(+)、潜血(-)。血液生化学所見:尿素窒素 20 mg/dL、クレアチニン 1.2 mg/dL。左の側腹部の腹部超音波像と腹部 CT の冠状断像とを別に示す。
次に行うべき検査はどれか。
a. 腎生検
b. 頭部 MRA
c. 排泄性尿路造影
d. 下部消化管内視鏡
e. ガリウムシンチグラフィ
32 歳の女性。腹部膨満感を主訴に来院した。母親が慢性腎不全で血液透析を受けている。両側季肋部から両側側腹部に腫瘤を触知し、軽度の圧痛を認める。
血圧 146/92 mmHg。尿所見:蛋白(+)、潜血(-)。血液生化学所見:尿素窒素 20 mg/dL、クレアチニン 1.2 mg/dL。左の側腹部の腹部超音波像と腹部 CT の冠状断像とを別に示す。
次に行うべき検査はどれか。
a. 腎生検
b. 頭部 MRA
c. 排泄性尿路造影
d. 下部消化管内視鏡
e. ガリウムシンチグラフィ
過去問チャートは、医療系国家試験の過去問をテーマ別に整理・解説した無料の学習サービスです。
※公式問題・正答は厚生労働省公開資料をもとに整理しています。
システム設計・解説記入:米澤 昌紘(X : @leknyan)
(医師/日本橋内科クリニック院長)