45歳の男性。歩行困難を主訴に来院した。2週間前の起床時に右足背に痛みを自覚し、その後、右足関節の背屈が困難になった。5日前から左手の示指と中指に痛みを伴うびりびり感が出現し、昨日から左足関節の背屈も難しくなったため受診し、入院となった。
意識は清明。身長 180 cm、体重 72 kg。体温 37.8 ℃。脈拍 92/分、整。血圧 150/72 mmHg。呼吸数 14/分。腹部は平坦、軟で、肝・脾を触知 しない。脳神経に異常を認めない。筋力は上下肢とも近位筋は正常、遠位筋では左右差のある筋力低下がみられた。四肢の腱反射は全般的に低下し、Babinski 徴候 は陰性。左正中神経領域と右浅腓骨神経領域とに痛みを伴う感覚低下が観察され た。小脳系に異常を認めない。髄膜刺激症候はない。
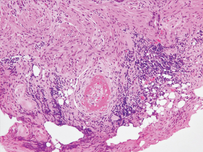
尿所見:蛋白1+、潜血1+、沈渣に赤血球 10〜20/1視野。血液所見:赤血球 352 万、Hb 11.8 g/dL、Ht 32 %、白血球 12,500(桿状核好中球 10 %、分葉核好中球 63 %、好酸球1%、好塩基球1%、単球2%、リンパ球 23 %)、血小板 18 万。血液生化学所見:総蛋白 6.6 g/dL、アルブミン 4.2 g/dL、尿素窒素 28 mg/dL、クレアチニン 1.7 mg/dL、血 糖 96 mg/dL、HbA1c 5.2 %(基準 4.6〜6.2)、Na 136 mEq/L、K 4.2 mEq/L、Cl 99 mEq/L。免疫血清学所見:CRP 6.2 mg/dL、抗核抗体陰性、MPO-ANCA 62 U/mL(基準 3.5 未満)、PR3-ANCA 3.5 U/mL 未満(基準 3.5 未満)。胸部エックス線写真で異常を認めない。入院翌日の夜に下血があり下部消化管内視鏡検査を施行したところ、上行結腸に潰瘍を認め、生検を行った。生検組織の H-E 染色標本 を示す。
最も考えられるのはどれか。
a. 多発性硬化症
b. サルコイドーシス
c. 顕微鏡的多発血管炎
d. Guillain-Barré症候群
e. 全身性エリテマトーデス(SLE)
