55歳の男性。胸痛を主訴に来院した。1週間前から左下の歯痛を自覚していた。 痛みは徐々に増強し、3日前から痛みが頸部へ広がり、2日前に胸痛も出現したため受診した。
意識は清明。体温 37.5 ℃。脈拍 96/分、整。血圧 98/62 mmHg。呼吸数 24/分。右胸部で呼吸音が減弱している。
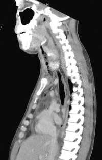
血液所見:赤血球 482 万、白血球 14,500(桿状核好中球 32 %、分葉核好中球 54 %、単球5%、リンパ球9%)、血小板 11 万。血液生化学所見:AST 61 U/L、ALT 69 U/L、尿素窒素 27 mg/dL、クレアチニン 1.2 mg/dL。CRP 36 mg/dL。縦隔条件の頸部CT、胸部CT及び矢状断再構成CTを示す。
治療として適切なのはどれか。2つ選べ。
a. 抗菌薬投与
b. ドレナージ
c. 放射線治療
d. 抗癌化学療法
e. 副腎皮質ステロイド投与
