医師免許申請用診断書

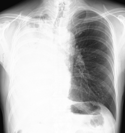
46 歳の男性。呼吸困難を主訴に来院した。1か月前から胸部違和感と労作時呼吸困難とを自覚していたが、徐々に増強するため来院した。1週間前までは胸部にヒューヒューという音がしていたが、現在は消失しているという。既往歴に特記すべきことはない。喫煙は 40 本/日を 26 年間。胸部エックス線写真を示す。

異常所見の原因として最も可能性が高いのはどれか。

a. 肺癌

b. 気胸

c. 血胸

d. 胸膜炎

e. 胸膜中皮腫

解答を見る

過去問チャートは、医療系国家試験の過去問をテーマ別に整理・解説した無料の学習サービスです。
※公式問題・正答は厚生労働省公開資料をもとに整理しています。


システム設計・解説記入:米澤 昌紘(X : @leknyan
(医師/日本橋内科クリニック院長)