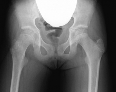
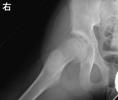
12 歳の女児。右大腿部から膝の痛みを主訴に来院した。1か月前に友人とぶつかって転倒した後から、痛みが出現した。様子をみていたが痛みが軽快しないため受診した。身長 148 cm、体重 50 kg。体温 36.3 ℃。右股関節前方に圧痛を認める。 歩行は疼痛のため困難である。右股関節可動域は屈曲と内旋とに制限がある。血液生化学所見に異常を認めない。股関節のエックス線写真を示す。
初期対応として適切なのはどれか。
a. 関節穿刺
b. 減量指導
c. 右下肢の免荷
d. 抗菌薬の投与
e. 股関節の可動域訓練
