医師免許申請用診断書

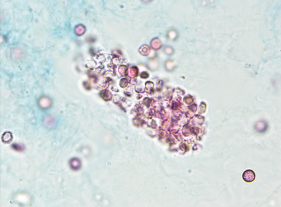
30歳の男性。起床後の尿がコーラのような色であったことを主訴として来院した。幼少期から扁桃炎を繰り返している。7日前に咽頭痛と発熱があったが軽快した。尿所見:暗赤色、蛋白2+、潜血3+。尿沈渣の顕微鏡写真を示す。

障害されている部位として最も考えられるのはどれか。

a. 糸球体

b. 尿細管

c. 腎盂

d. 尿管

e. 膀胱

解答を見る

過去問チャートは、医療系国家試験の過去問をテーマ別に整理・解説した無料の学習サービスです。
※公式問題・正答は厚生労働省公開資料をもとに整理しています。


システム設計・解説記入:米澤 昌紘(X : @leknyan
(医師/日本橋内科クリニック院長)