70歳の男性。肺癌治療後の定期診察のため来院した。6か月前に肺門リンパ節転移を伴う限局型小細胞肺癌と診断され、抗癌化学療法と胸部放射線療法の同時併用を行った。抗癌化学療法は3か月で、放射線療法は3週間で終了している。現在、喀痰と労作時呼吸困難はあるが肺癌治療開始前と比べて変化はない。63歳時に僧帽弁の人工弁置換術を受けている。
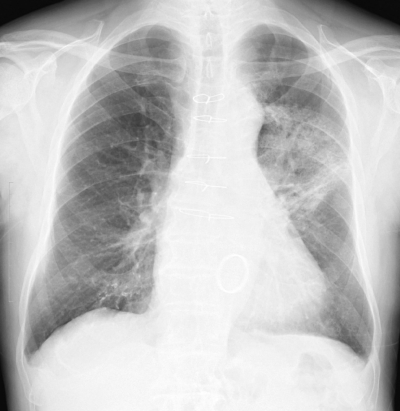
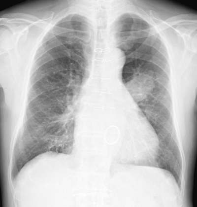
体温 36.4 ℃。脈拍 68/分、整。血圧 122/72 mmHg。呼吸数 18/分。SpO2 97 %(room air)。呼吸音に異常を認めない。血液所見:Hb 10.8 g/dL、白血球 5,400。CRP 0.9 mg/dL。肺癌治療前と今回来院時の胸部エックス線写真及び放射線治療の照射野を示す。
適切な対応はどれか。
治療前
今回来院時
a. 抗菌薬投与
b. 抗癌化学療法の追加
c. 胸部放射線療法の追加
d. ステロイドパルス療法
e. 1週間の経過観察後の胸部エックス線撮影
