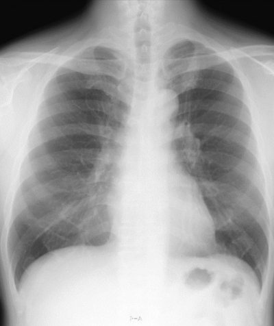
73歳の男性。健診で胸部エックス線写真の異常陰影を指摘されて受診した。65歳から高血圧症で内服治療中。喫煙歴は 20 本/日を 50 年間。気管支内視鏡下擦過細胞診で腺癌と診断された。FDG-PET では腫瘤に一致して集積を認める。他の部位には異常集積を認めない。胸部エックス線写真 正面及び胸部CTを別に示す。
治療方針を決定するために行うべき検査はどれか。
a. 呼吸機能検査
b. 腫瘍マーカー
c. 嚥下機能検査
d. 喀痰培養検査
e. 腹部超音波検査
73歳の男性。健診で胸部エックス線写真の異常陰影を指摘されて受診した。65歳から高血圧症で内服治療中。喫煙歴は 20 本/日を 50 年間。気管支内視鏡下擦過細胞診で腺癌と診断された。FDG-PET では腫瘤に一致して集積を認める。他の部位には異常集積を認めない。胸部エックス線写真 正面及び胸部CTを別に示す。
治療方針を決定するために行うべき検査はどれか。
a. 呼吸機能検査
b. 腫瘍マーカー
c. 嚥下機能検査
d. 喀痰培養検査
e. 腹部超音波検査
今後、手術ができるかどうかを検査する。
a 呼吸機能検査をみることが必要。
b 高値であることが予想させる。現時点では必要ない。
c 現時点では必要ない。
d 感染ではないので、現時点では必要ない。
e 現時点では必要ない。
過去問チャートは、医療系国家試験の過去問をテーマ別に整理・解説した無料の学習サービスです。
※公式問題・正答は厚生労働省公開資料をもとに整理しています。
システム設計・解説記入:米澤 昌紘(X : @leknyan)
(医師/日本橋内科クリニック院長)