66歳の男性。総胆管結石の加療目的で入院となり、内視鏡的結石除去術を施行した。終了2時間後から持続性の心窩部痛と背部痛を訴えた。
体温 37.5 ℃。脈拍108/分、整。血圧 94/66 mmHg。呼吸数 24/分。SpO2 94 %(room air)。腹部は平坦で、心窩部を中心に広範囲に圧痛を認める。
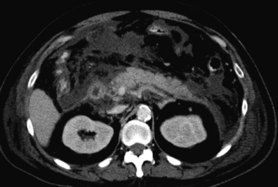
血液所見:赤血球 502 万、Hb 15.3 g/dL、Ht 45 %、白血球 12,700、血小板 26 万、PT-INR 1.1(基準 0.9〜1.1)。血液生化学所見:総ビリルビン 4.4 mg/dL、AST 370 U/L、ALT 177 U/L、LD 491U/L(基準 176〜353)、γ-GTP 337 U/L(基準 8〜50)、アミラーゼ 1,288 U/L(基準37〜160)、尿素窒素 23 mg/dL、クレアチニン 1.2 mg/dL。CRP 9.3 mg/dL。腹部造影CTを別に示す。
次に行うべき治療として適切でないのはどれか。
a. 絶食
b. 大量輸液
c. 鎮痛薬の投与
d. 抗菌薬の投与
e. 緊急胆囊摘出術
