74 歳の男性。息苦しさを主訴に来院した。半年前から階段昇降時などに息切れを自覚していた。2日前から症状が増悪し、昨夜からは安静時にも息苦しさを自覚するようになったため来院した。
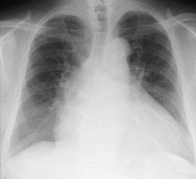
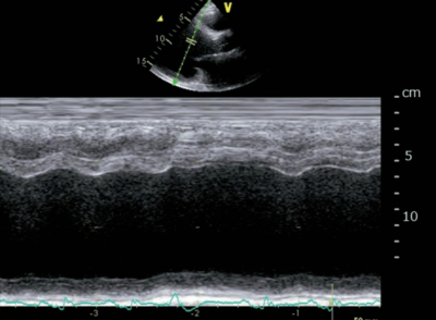
体温 36.4 ℃。脈拍 112/分、整。血圧 152/82 mmHg。呼吸数 20/分。SpO2 95 %(room air)。両下胸部にcoarse cracklesを聴取する。胸部エックス線写真を別に示す。心電図は洞性頻脈でST-T変化を認めない。心エコー図を別に示す。
本症例に関する研修医と指導医の会話を示す。
研修医:「心不全の患者さんが来院しました」
指導医:「先ほど私もお会いしました。心音はどうですか」
研修医:「 (ア) を呈していました。」
指導医:「心雑音はどうですか」
研修医:「Levine Ⅲ/Ⅵの (イ) 収縮期雑音を聴取しました」
指導医:「体位や呼吸で心雑音の強度は変化しますか」
研修医:「 (ウ) 」
指導医:「頸静脈の所見はどうですか」
研修医:「上体の 45 度の挙上で胸骨角から 10 cm の高さまで頸静脈拍動を認めます。推定の中心静脈圧は (エ) 程度だと思います」
指導医:「触診所見はどうでしょうか」
研修医:「心尖拍動は (オ) で触知されました」
ア〜オと会話内容の組合せで正しいのはどれか。
a. ア - 奔馬調律
b. イ - 頸部に放散する
c. ウ - 座位の前傾姿勢で雑音が増強します
d. エ - 5cmH2O
e. オ - 鎖骨中線の内側
