医師免許申請用診断書

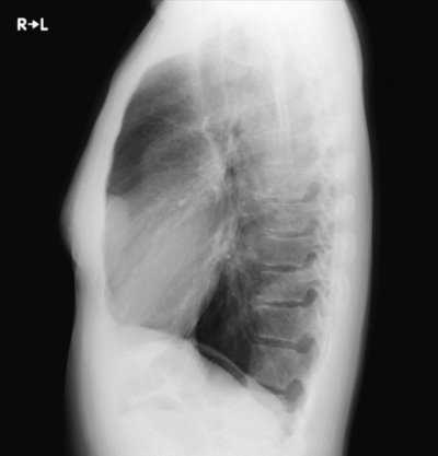
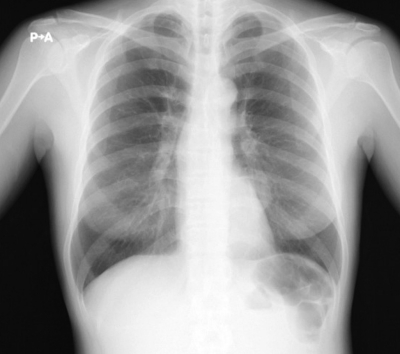
23歳の女性。入社時の健康診断の胸部エックス線写真で異常陰影を指摘されたため産業医から紹介受診となった。自覚症状はない。喫煙歴はない。胸部エックス線写真を別に示す。

次に行うべき検査はどれか。2つ選べ。

a. 肺血流シンチグラフィ

b. 経食道超音波

c. 胸部造影 CT

d. 胸部 MRI

e. 胸椎 MRI

解答を見る

過去問チャートは、医療系国家試験の過去問をテーマ別に整理・解説した無料の学習サービスです。
※公式問題・正答は厚生労働省公開資料をもとに整理しています。


システム設計・解説記入:米澤 昌紘(X : @leknyan
(医師/日本橋内科クリニック院長)