64歳の女性。歩行困難のため救急車で搬入された。1週間前から歩きづらさを自覚していた。本日起床してから歩行不能となったため救急車を要請した。60歳時に右乳癌で右乳房切除術。生活歴および家族歴に特記すべきことはない。
搬入時、意識は清明。体温 36.3 ℃。心拍数 72/分、整。血圧 114/62 mmHg。呼吸数 16/分。SpO2 97 %(room air)。徒手筋力テストで両下肢筋力は 0〜1。腋窩以下体幹と両下肢に感覚障害があり、上位胸椎棘突起に叩打痛を認める。
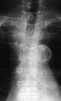
血液所見:赤血球 413 万、Hb 12.0 g/dL、白血球 7,200、血小板 27 万。血液生化学所見:総蛋白 7.3 g/dL、アルブミン 4.2 g/dL、尿素窒素 13 mg/dL、クレアチニン 0.8 mg/dL、AST 40 U/L、ALT 24 U/L、LD 768 U/L (基準 176〜353)、ALP 997 U/L (基準 115〜359)、Na 144 mEq/L、K 4.8 mEq/L、Cl 105 mEq/L。CRP 1.4 mg/dL。胸椎エックス線写真、頸胸椎MRIのT2強調矢状断像及び第3胸椎レベルの水平断像を別に示す。
まず検討すべきなのはどれか。2つ選べ。
a. 除圧固定術
b. 放射線照射
c. 抗癌化学療法
d. 残存機能訓練
e. 体幹ギプス固定
