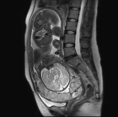
35歳の経産婦(3妊2産)。妊娠33週に周産期管理目的で、自宅近くの産科診療所から紹介され受診した。既往歴は、30歳時および32歳時に、それぞれ骨盤位および既往帝王切開の適応で選択的帝王切開。身長 156 cm、体重 56 kg 妊娠前体重 48 kg 。体温 36.8 ℃。脈拍 84/分、整。血圧 108/76 mmHg。現時点で自覚症状はなく、胎児心拍数陣痛図で異常を認めない。骨盤MRIのT2強調像を別に示す。
考えられるのはどれか。2つ選べ。
a. 前置血管
b. 前置胎盤
c. 癒着胎盤
d. 胎盤後血腫
e. 常位胎盤早期剝離
