67歳の男性。2か月前から持続する心窩部痛と背部痛を主訴に来院した。3か月間で体重が 10 kg 減少している。
意識は清明。腹部は平坦で、心窩部に径 5cmの固い腫瘤を触知する。
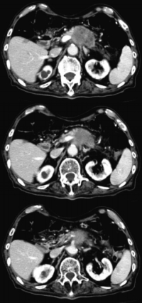
血液所見:赤血球 395 万、Hb 12.9 g/dL、Ht 38 %、白血球 8,100。血液生化学所見:総蛋白 6.7 g/dL、総ビリルビン 0.7 mg/dL、AST 44 U/L、ALT 41 U/L、ALP 522 U/L (基準 115〜359)、γ-GTP 164 U/L (基準 8〜50)、アミラーゼ 51 U/L (基準 37〜160)、尿素窒素 13 mg/dL、クレアチニン 0.8 mg/dL。CEA 758 ng/mL (基準 5以下) 、CA19-9 950 U/mL (基準 37 以下)。腹部造影CTを別に示す。
治療として適切なのはどれか。2つ選べ。
a. 動脈塞栓術
b. 放射線照射
c. 抗癌化学療法
d. 膵体尾部切除術
e. 膵頭十二指腸切除術
