62歳の男性。血便を主訴に来院した。
現病歴:本日夕食後に多量の暗赤色の便が出現し、ふらつきを自覚したため救急外来を受診した。特に腹痛や下痢を自覚していない。
既往歴:30 年前から高血圧症と糖尿病で内服治療中。10 年前から心房細動に対してワルファリンを処方されている。最近、処方薬の増量や変更はない。
生活歴:妻と 2人暮らし。喫煙は 50 歳まで 20 本/日を 20 年間。飲酒はビール350 mL/日。
家族歴:父親が脳梗塞。母親が大腸癌。
現症:意識は清明。身長 169 cm、体重 70 kg。体温 36.7 ℃。脈拍 88/分、不整。血圧 114/78 mmHg。呼吸数 18/分。SpO2 96 % (room air)。眼瞼結膜は貧血様だが、眼球結膜に黄染を認めない。心音と呼吸音とに異常を認めない。腹部は平坦、軟で、肝・脾を触知しない。腸雑音はやや亢進している。直腸指診で暗赤色の便の付着を認める。四肢に軽度の冷汗を認める。
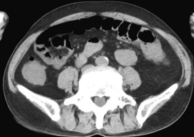
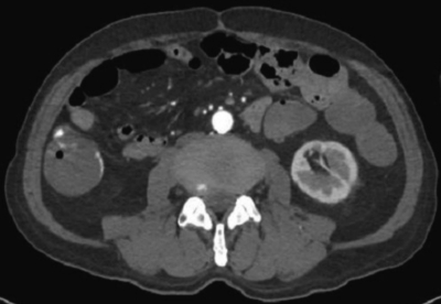
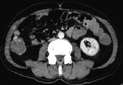
検査所見:血液所見:赤血球 299 万、Hb 9.7 g/dL、Ht 32 %、白血球 12,000、血小板 21 万。血液生化学所見:総蛋白 6.5 g/dL、アルブミン 3.6 g/dL、総ビリルビン 0.9 mg/dL、AST 28 U/L、ALT 22 U/L、LD 277 U/L (基準 176〜353)、γ-GTP 41 U/L (基準 8〜50)、アミラーゼ 80 U/L (基準 37〜160)、尿素窒素 18 mg/dL、クレアチニン 1.1 mg/dL、尿酸 6.7 mg/dL、血糖 128 mg/dL、Na 140 mEq/L、K 4.5 mEq/L、Cl 100 mEq/L。CRP 1.9 mg/dL。腹部単純 CT及び腹部造影 CTを別に示す。
腹部単純CT
腹部造影CT(動脈相)
腹部造影CT(遅延相)
まず測定すべきなのはどれか。
a. PaO2
b. PT-INR
c. D ダイマー
d. 血小板粘着能
e. 心筋トロポニン T
最も考えられるのはどれか。
a. 大腸憩室症
b. 虚血性腸炎
c. 潰瘍性大腸炎
d. 非閉塞性腸管虚血症
e. 腸管出血性大腸菌感染症
その後の経過:入院後、翌朝までに赤血球液-LR 6単位の輸血を行ったが、Hb値は 8.2 g/dL で血便が持続している。下部消化管内視鏡検査を行ったが多量の凝血塊のため止血術を実施できなかった。
この時点で考慮すべきなのはどれか。2つ選べ。
a. 腸管切除術
b. 動脈塞栓術
c. 血栓溶解療法
d. 血漿交換療法
e. 高圧酸素療法
