医師免許申請用診断書

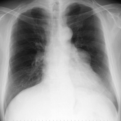
52歳の男性。脱力を主訴に来院した。3か月前から、帰宅時に駅の階段を途中で休まずには昇れなくなったため受診した。血液検査で抗アセチルコリン受容体抗体が陽性であった。胸部エックス線写真及び胸部造影 CT を別に示す。

この患者で検索すべき合併症はどれか。2つ選べ。

a. 赤芽球癆

b. 気管支喘息

c. 高尿酸血症

d. 2型糖尿病

e. 低ガンマグロブリン血症

解答を見る

過去問チャートは、医療系国家試験の過去問をテーマ別に整理・解説した無料の学習サービスです。
※公式問題・正答は厚生労働省公開資料をもとに整理しています。


システム設計・解説記入:米澤 昌紘(X : @leknyan
(医師/日本橋内科クリニック院長)