58 歳の男性。ショッピングセンターの駐車場でエンジンがかかったまま停車している自家用車を不審に思った買い物客により、運転席で死亡しているのを発見された。救急隊が現場に到着した時には既に硬直がみられたため病院には搬送されず、死因等究明のため司法解剖された。
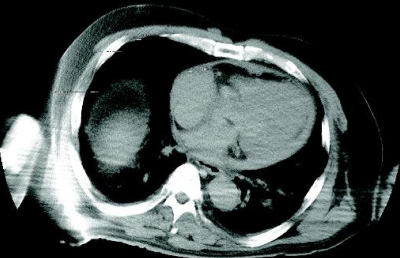
身長 170 cm、体重 90 kg。背面に死斑が高度に発現し、硬直は全身の諸関節で強い。外表に創傷はない。脳は 1,750 g で浮腫状である。胸郭・脊椎に骨折はなく、左右胸膜腔に液体貯留はほとんどない。心囊に破裂はない。心重量は 610 g で冠状動脈に内膜肥厚・血栓はなく、心筋には異状を認めない。大動脈は Valsalva 洞から左鎖骨下動脈起始部の下 15 cm の高さにかけて、内外膜間が解離し、両端部の内膜および中膜に亀裂がある。肺と肝臓はうっ血しているが、臓器表面に異状はない。死後解剖前に撮影した胸部 CT及び解剖時に心囊を切開した際に撮影した写真を別に示す。
最も考えられる病態はどれか。
《画像:掲載不可》心嚢に血液が溜まっている開胸画像
a. 肝破裂
b. 肺挫傷
c. 脊髄損傷
d. 心筋梗塞
e. 心タンポナーデ
