65 歳の女性。発熱と悪寒を主訴に来院した。
意識レベルは JCSⅡ-10。身長 155cm、体重 68 kg。体温 38.8 ℃。脈拍 96/分、整。血圧 92/52 mmHg。呼吸数 28/分。腹部は平坦、軟で、肝・脾を触知しない。右背部叩打痛を認める。
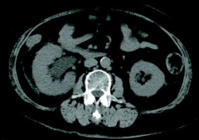
尿所見:蛋白1+、糖(-)、ケトン体(-)、潜血1+、沈渣は赤血球 10〜50/HPF、白血球 50〜99/HPF。血液所見:赤血球 434 万、Hb 11.8 g/dL、Ht 37 %、白血球2,200、血小板 22 万。血液生化学所見:総蛋白 6.5 g/dL、アルブミン 2.8 g/dL、AST 19 U/L、ALT 19 U/L、尿素窒素 12 mg/dL、クレアチニン 0.8 mg/dL。CRP 21 mg/dL。血液培養と尿培養の検体を採取し、生理食塩液による輸液を行ったが、血圧低下の改善はみられず、カテコラミンと抗菌薬の投与を開始した。腹部 CTを別に示す。
直ちに行うべき処置はどれか。
a. 尿道切開術
b. 膀胱瘻造設
c. 経尿道的尿管砕石術
d. 尿管ステント留置術
e. 体外衝撃波結石破砕術
