医師免許申請用診断書

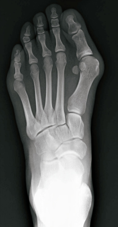
31歳の女性。左母趾痛と同部の変形を主訴に来院した。3年前に誘因なく左母趾痛が出現したがそのままにしていた。最近になり、痛みが増悪し変形も目立ってきたので受診した。左足部エックス線写真を別に示す。

治療として適切でないのはどれか。

a. 靴指導

b. 筋力訓練

c. 骨切り術

d. 装具療法

e. 徒手整復

解答を見る

過去問チャートは、医療系国家試験の過去問をテーマ別に整理・解説した無料の学習サービスです。
※公式問題・正答は厚生労働省公開資料をもとに整理しています。


システム設計・解説記入:米澤 昌紘(X : @leknyan
(医師/日本橋内科クリニック院長)