70歳の男性。膵頭部癌のため膵頭十二指腸切除術を施行され、術後安定していた。術後3日目に呼吸困難と意識の混濁が認められた。
体温 37.5 ℃ 、心拍数 118/分、整。血圧 122/84 mmHg。呼吸数 30/分。SpO₂ 95%(マスク 5L/分酸素投与下)。心音は奔馬調律で、呼吸音は両肺にwheezesを聴取する。両下腿に浮腫を認めた。
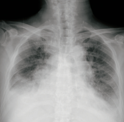
血液所見:赤血球350万、 Hb 8.8 g/dL、Ht 28%、白血球 13,100、血小板 21万。血液生化学所見: AST 99 U/L、ALT 31 U/L、LD 659 U/L(基準 120〜245) 、クレアチニン 1.4 mg/dL、血糖 128 mg/dL、脳性ナトリウム利尿ペプチド〈BNP〉2,920 pg/mL(基準 18.4以下)。CRP 2.2 mg/dL。胸部エックス線写真を別に示す。
治療薬として適切なのはどれか。
a. ループ利尿薬
b. カテコラミン製剤
c. カルシウム拮抗薬
d. 副腎皮質ステロイド
e. エンドセリン受容体拮抗薬
