医師免許申請用診断書

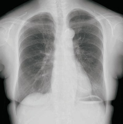
74歳の女性。胸部エックス線で異常陰影を指摘され来院した。3年前に直腸癌に対する手術を施行され、経過観察中である。昨年は異常を指摘されていない。胸部エックス線写真及び胸部造影CTを別に示す。

診断確定のために最も有用な検査はどれか。

a. 胸部MRI

b. 喀痰細胞診

c. 腫瘍マーカー

d. 気管支鏡検査

e. 骨シンチグラフィ

解答を見る

過去問チャートは、医療系国家試験の過去問をテーマ別に整理・解説した無料の学習サービスです。
※公式問題・正答は厚生労働省公開資料をもとに整理しています。


システム設計・解説記入:米澤 昌紘(X : @leknyan
(医師/日本橋内科クリニック院長)