77歳の女性。労作時呼吸困難と咳嗽を主訴に来院した。1か月前から労作時呼吸困難、咳嗽が出現したため受診した。既往歴と家族歴とに特記すべきことはない。喫煙歴はない。ペットは飼育していない。
意識は清明。体温 37.2 ℃。脈拍 96/分、整。血圧 116/60 mmHg。呼吸数 20/分。SpO₂ 89 % (room air)。皮疹は認めない。眼瞼結膜と眼球結膜とに異常を認めない。心音に異常を認めない。呼吸音は両側前胸部に気管支呼吸音、両側廃部にfine clacklesを聴取する。関節腫脹は認めない。下腿に浮腫は認めない。筋力低下は認めない。
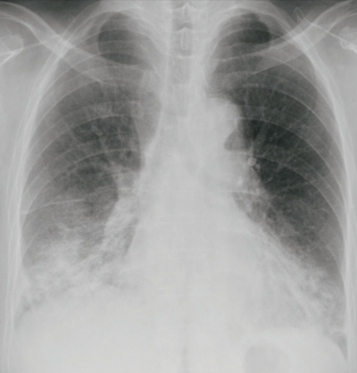
血液所見: Hb 12.2 g/dL、白血球 9,400、血小板 24万。血液生化学所見: AST 20 U/L、ALT 8 U/L、LD 293 U/L (基準 120~245)、尿素窒素 12 mg/dL、クレアチニン 0.7 mg/dL。KL-6 2.919 U/mL (基準 500未満) 。免疫血清学所見:CRP 3.6 mg/dL、β-D-グルカン 5.0 pg/mL (基準 10以下) 。抗核抗体 40倍 (基準 20以下)、MPO-ANCA陰性、PR3-ANCA陰性、抗アミノシルtRNA合成酵素抗体〈抗ARS抗体〉陽性。胸部エックス線写真及び肺野条件の胸部単純CTを示す。
呼吸状態の悪化を認め、治療を行い改善した。改善後の胸部エックス線写真を別に示す。効果を示した治療はどれか。
a. 抗IgE抗体
b. 副腎皮質ステロイド
c. マクロライド系抗菌薬
d. 免疫チェックポイント阻害薬
e. EGFRチロシンキナーゼ阻害薬
