41歳の女性。 3日前からの発熱と黄色膿性痰を主訴に来院した。市販の解熱薬を内服していたが、改善しないため受診した。7年前から気管支喘息に対して吸入ステロイド薬を定期的に使用している。
体温 37.4 ℃。脈拍 104/分、整。血圧 118/62 mmHg。呼吸数 18/分。SpO₂ 95% (room air)。左下胸部にcoarse cracklesを聴取する。
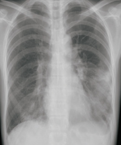
血液所見:赤血球 456万、Hb 13.0 g/dL、Ht 39%、白血球 19,800 (好中球 85%、好酸球 1%、好塩基球 1%、単球 5%、リンパ球 8%)、血小板 34万。CRP 15 mg/dL。胸部エックス線写真及び喀痰Gram染色標本を別に示す。
原因微生物として考えられるのはどれか。
a. Haemophilus influenzae
b. Moraxella catarrhalis
c. Mycoplasma pneumoniae
d. Staphylococcus aureus
e. Streptococcus pneumoniae
