84歳男性。発熱と左側胸部痛を主訴に来院した。
現病歴: 5日前から咽頭痛と37℃前後の微熱があり、市販の感冒薬を内服したが発熱は持続していた。2日前から徐々に左側胸部の持続性の疼痛が出現した。痛みは呼吸に伴い増悪する。今朝になって、左側胸部痛が強くなっており心配になって受診した。冷汗や意識消失はない。
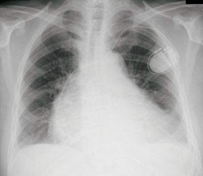
既往歴: 徐脈性心房細動、Ⅰ度の僧帽弁閉鎖不全、心不全、高血圧症で、抗血栓薬とアンジオテンシン変換酵素〈ACE〉阻害薬、利尿薬を内服中である。5年前に徐脈性心房細動に対し、ペースメーカー植込み術を受けた。
家族歴: 父が85歳時に脳出血で死亡。母が80歳時に胃癌で死亡。
現症: 意識は清明。身長 158 cm、体重 56 kg。体温 37.6 ℃。脈拍 60/分、整。血圧 120/80 mmHg。呼吸数 18/分。SpO₂ 98% (room air)。
左下胸部に、打診で濁音、聴診で胸膜摩擦音を認める。胸部に圧痛を認めない。心音は、Ⅲ音と心尖部を最強とするLevine3/6の全収縮期雑音を聴取する。
心電図及び胸部エックス線写真を別に示す。
心電図所見として、正しいのはどれか。
a. 洞調律
b. 心室頻拍
c. 心室ペーシング
d. 完全右脚ブロック
e. 完全房室ブロック
検査結果を示す。
検査所見: 尿所見:蛋白(-)、糖(-)。血液所見: 赤血球 450万、Hb 13.3 g/dL、Ht 40%、白血球 9,800 (桿状核好中球2%、分葉核好中球 58%、好酸球 3%、好塩基球 1%、単球 8%、リンパ球 28%)、血小板 18万。血液生化学所見:AST 36 U/L、ALT 38 U/L、LD 263 U/L (基準120~245)、CK 99U/L (基準 30~140)、尿素窒素 12 mg/dL、クレアチニン 0.8 mg/dL。CRP 8.2 mg/dL。
考えられるのはどれか。
a. 気胸
b. 胸膜炎
c. 大動脈解離
d. 肺血栓塞栓症
e. ウイルス性心筋炎
 
    