MENU
home
菌娘らぼ
医学語呂なう
過去問チャート
ホルモンズ
医療電卓
blog
about
第115回 F問題 17問目 - 115F17
115F
解剖学
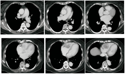
胸部CT検査
縦隔条件の胸部造影CTを別に示す。
異常所見を示す心臓の部位はどこか。
a. 右房
b. 左房
c. 肺動脈
d. 右心室
e. 左心室
解答を見る
d. 右心室
右心室に腫瘤を認める。
前のページへ
次のページへ
問題解説・システム開発 :
内科医 れくにゃん