日齢25の女児。嘔吐を主訴に母親に連れられて来院した。在胎 38週、出生体重 2,850 g。完全母乳栄養で生後11日頃から哺乳後に1日2~3回の嘔吐を認めたため受診した。吐物は母乳様で、排便は毎日あったという。
身長 50 cm、体重 3,520 g(14日前の体重3100g)。体温 36.6 ℃ 。心拍数 120/分、整。血圧 90/62 mmHg。呼吸数 24/分。大泉門の陥凹はない。腹部は軽度膨満を認めるが、軟である。
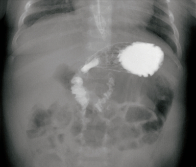
尿所見:蛋白(−)、糖(−)、潜血(−)、尿比重 1.005。血液所見:赤血球 450万、 Hb 13.5 g/dL、Ht 43%、白血球 7,400、血小板 21万。血液生化学所見:AST 38U/L、ALT 28 U/L、尿素窒素 5.4 mg/dL、クレアチニン 0.3 mg/dL、Na 140 mEq/L、K 4.5 mEq/L、Cl 105 mEq/L。CRP 0.1mg/dL。上部消化管造影像を別に示す。
治療として適切なのはどれか。
a. 緊急手術
b. 経管栄養
c. 静脈栄養
d. 制吐薬投与
e. 右側臥位保持
