6か月の男児。嘔吐を主訴に母親に連れられて来院した。寝返りをした際に約50cmの高さのベッドからフローリングの床に転落し、その後嘔吐と活気不良を認めた。新生児期に血友病Aと診断されている。同疾患の家族歴がある。
身長70cm、体重9kg。体温36.8℃。心拍数120/分、整。血圧86/56mmHg。呼吸数32/分。SpO2 98%(room air)。活気不良。顔色不良。心音と呼吸音とに異常を認めない。腹部は平坦、軟。
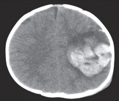
血液所見:赤血球320万、Hb 10.2g/dL、Ht 30%、白血球14,000、血小板25万、PT-INR 1.3(基準0.9~1.1)、APTT 98.3秒(基準対照37.1)、血漿フィブリノゲン150mg/dL(基準186~355)。血液生化学所見:総蛋白4.5g/dL、アルブミン2.8g/dL、AST 30U/L、ALT 26U/L、LD 774U/L(基準120~245)、尿素窒素12mg/dL、クレアチニン0.6mg/dL、血糖120mg/dL。頭部単純CTを別に示す。
適切な初期対応はどれか。
a. 赤血球輸血
b. 自宅で経過観察
c. 新鮮凍結血漿投与
d. 凝固第IX因子製剤投与
e. 凝固第VIII因子製剤投与
